Duodenal stump leakage and associated abscess and fistula following gastric carcinoma surgery: A Case Report
Post-gastrectomy duodenal stump pathologies
Authors
Abstract
Introduction Gastric carcinoma, a common gastrointestinal malignancy, is treated with gastrectomy, which may cause duodenal stump leakage (DSL). This rare complication can lead to abscess and fistula, increasing mortality. This case report examines a patient with recurrent DSL post-gastrectomy.
Case Presentation A 72-year-old male underwent total gastrectomy for gastric carcinoma. Six months post-surgery, he had abdominal pain and discharge. CT showed a perihepatic abscess and fistula from DSL. Conservative treatment with drainage, nutrition, and antibiotics initially succeeded. Symptoms recurred at 7 and 13 months, requiring revision surgery with an omental patch. No complications occurred during the one-year follow-up.
Conclusion DSL, occurring in 0.5–5% of gastrectomies, is linked to age, smoking, and surgical technique. Conservative management often works, but refractory cases need surgery. Smoking and high CRP were key risk factors. Conservative management may address DSL, but surgery is needed for refractory cases. Early risk assessment reduces complications.
Keywords
Introduction
The primary treatment for gastric carcinoma involves subtotal or total gastrectomy with lymph node dissection, representing a standard surgical approach. However, these invasive procedures can lead to various postoperative complications. Among these, anastomotic leakage, pancreatic fistula, and intra-abdominal infections are prominent, while duodenal stump leakage (DSL) is noted as a rare but potentially fatal condition in the literature.1
DSL occurs due to inadequate closure of the duodenal stump or technical issues following gastrectomy and may manifest in the early postoperative period (1–10 days) or as a delayed complication (after 30 days).2 This leakage causes contaminated fluid to enter the peritoneal cavity, predisposing to secondary infections. The most frequently associated complications include abscess formation and enterocutaneous fistula.3 Reported series indicate an incidence of duodenal stump leakage ranging from 0.5% to 5%, with mortality rates reaching 10–50%, potentially leading to systemic complications such as sepsis, multi-organ failure, and peritonitis.4 Abscesses, typically identified as localized collections via abdominal computed tomography, may require drainage, while fistula development necessitates prolonged parenteral nutrition and somatic treatment, extending hospital stays.3
Risk factors for DSL include patient age, malnutrition, smoking, inadequate stump closure, and surgical techniques (e.g., linear stapler use).4
In the literature, treatment of abscess and enterocutaneous fistula due to DSL primarily involves conservative approaches, including total parenteral nutrition, antibiotic therapy, and percutaneous drainage, with revision surgery or endoscopic intervention reserved for refractory cases.3,5
This case report describes a patient who underwent total gastrectomy and lymph node dissection for gastric carcinoma, subsequently developing DSL with refractory perihepatic abscess and enterocutaneous fistula, and discusses the treatment approach employed.
Case Presentation
A 72-year-old male patient presented to our outpatient clinic with gastric carcinoma. Following the evaluation, surgical intervention was planned. Preoperative vital signs were unremarkable, with laboratory findings showing elevated C-reactive protein (CRP) levels (108 mg/L; reference range 0–5 mg/dL) but no other abnormalities. The patient’s medical history included hypertension and smoking, with poor self-care noted during assessment. Subsequently, the patient underwent total gastrectomy with lymph node dissection for gastric carcinoma. A duodenal stump was created, and a surgical drain was placed in the operative field. The procedure was completed, and the patient was monitored in the intensive care unit for 2 days, followed by 12 days on the ward. The surgical drain was removed on postoperative day 4. After achieving clinical stability, the patient was discharged and scheduled for a follow-up visit one month later. At the follow-up, no complications were observed, and the patient’s condition remained stable.
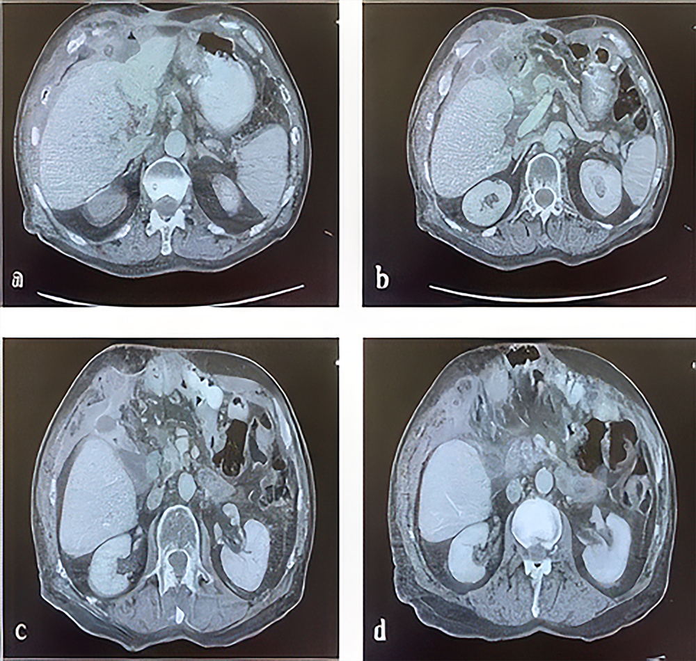
Six months postoperatively, the patient presented with abdominal discharge. Diagnostic evaluation, including abdominal computed tomography (CT), revealed a perihepatic abscess and enterocutaneous fistula secondary to DSL (Figure 1). As the abscess and fistula were localized without systemic complications, conservative management was initiated. Therapeutic abscess drainage was performed using a 12F catheter under ultrasound guidance, accompanied by parenteral nutrition and intravenous antibiotic therapy. Following a reduction in fluid collection, confirmed by ultrasonography, the catheter was removed, and the fistula was repaired. The patient was discharged in stable condition on day 28 and scheduled for a follow-up one month later, where no complaints or abscess recurrence were noted on ultrasonographic evaluation.
Seven months after the initial intervention, the patient returned with abdominal wall discharge, pain, and fever. Examination revealed purulent discharge from the skin. Abdominal CT confirmed a recurrent perihepatic abscess with enterocutaneous fistulization, similar to the prior episode (Figure 2). The abscess was again localized to the perihepatic region without systemic complications, and DSL was identified as the etiology. The patient was readmitted, and ultrasound-guided 12F catheter drainage was performed. Oral intake was discontinued, and parenteral nutrition with intravenous antibiotics was administered. The catheter was removed on day 15 after the procedure, the fistula was repaired, and the patient was discharged in stable condition on day 36. At the one-month follow-up, no acute pathology was observed, and the patient’s condition remained stable.
Six months after the second intervention, the patient presented again with abdominal wall discharge, pain, and nausea. Ultrasonography and abdominal CT confirmed a recurrent perihepatic abscess and enterocutaneous fistula, with duodenal stump leakage again identified as the cause. Due to the refractory nature of the condition, revision surgery was performed using an omental patch technique, and the enterocutaneous fistula was repaired. The patient received parenteral nutrition and intravenous antibiotics during this period. Following revision surgery, the patient achieved clinical stability and was discharged on postoperative day 21. At the one-year follow-up after revision surgery, no pathology was detected, and the patient was placed under routine follow-up.
Ethics ApprovalFormal ethics committee approval was not required in accordance with institutional and national guidelines.
Reporting GuidelinesThis case is reported in accordance with the CARE guidelines.
Discussion
The development of abscess and enterocutaneous fistula due to DSL is a serious but relatively rare complication following gastric carcinoma surgery. Conservative treatment with drainage is effective in most stable patients. However, surgical intervention is preferred in severe or refractory cases. A review by Jeong et al. reported that conservative treatment was successful in 94.5% of cases with DSL, attributing this success to localized peritonitis and self-contained abscess formation.5 In a study by Garden et al., 12 cases of DSL were reported, with only one requiring relaparotomic stump closure, while the remaining patients were managed conservatively.6 Cozzaglio et al.’s large-scale study emphasized that conservative treatment is the preferred approach, with surgical intervention indicated only when other methods fail or in cases with severe complications.7 In our case, conservative treatment with percutaneous drainage was applied during the first and second presentations due to the patient’s stability and localized abscess and enterocutaneous fistula formation. However, at the third presentation, a refractory abscess and fistula necessitated revision surgery with an omental patch repair. Compared to the literature, the choice of conservative treatment for the initial two episodes was therapeutic and consistent with established guidelines, while the decision for surgical revision in the refractory case was also aligned with the literature.
Risk factors for DSL identified in the literature include advanced age, malnutrition, smoking, inadequate stump closure, and surgical technique (e.g., linear stapler use).8,9 Gu et al. investigated factors such as age, sex, ASA score, carcinoembryonic antigen levels, neutrophil-to-lymphocyte ratio, hemoglobin, albumin, preoperative elevated CRP, and obesity. Their study found a positive correlation between preoperative elevated CRP and obesity with DSL, but not with other factors.2 Ramos et al. reported an increased incidence of duodenal stump leakage in patients with a body mass index (BMI) ≥23 kg/m².8 In our case, the patient’s smoking history and preoperative elevated CRP were identified as risk factors, consistent with the literature, while obesity was not present.
Limitations
Our study has several limitations. One of them is that potential causes of duodenal stump leakage (DSL), such as malnutrition, smoking, and frequent NSAID use, were assessed based on patient self-reporting. Another limitation is the uncertainty regarding whether the patient experienced any other pathology during this period, or whether the follow-up was based solely on the patient’s own account, which makes it difficult to determine the presence of other etiological factors. However, we do not believe that these limitations significantly affect the conclusions of our case report.
Conclusion
Recurrent DSL and enterocutaneous fistula in a single case, as observed here, are unprecedented in the literature. We hypothesize that the patient’s continued smoking and poor self-care contributed to these recurrences. Furthermore, in cases of persistent abscess and enterocutaneous fistula due to duodenal stump leakage following conservative treatment, surgical intervention is indicated. Complete resolution was achieved in our patient following revision surgery. Clinicians should consider surgical treatment in similar cases to reduce hospital stay and prevent recurrent presentations.
Declarations
Ethics Declarations
This case report was prepared in accordance with the ethical principles of the Declaration of Helsinki.
Animal and Human Rights Statement
All procedures performed in this study were in accordance with the ethical standards of the institutional and/or national research committee and with the 1964 Helsinki Declaration and its later amendments or comparable ethical standards.
Informed Consent
Written informed consent was obtained from the patient for publication of this case report and accompanying images.
Data Availability
All relevant data are included within the article.
Conflict of Interest
The authors declare that there is no conflict of interest.
Funding
None
Author Contributions (CRediT Taxonomy)
Conceptualization: M.A.K.
Investigation: M.A.K.
Data curation: M.A.K.
Writing – original draft: M.A.K.
Writing – review & editing: M.A.K.
Supervision: M.A.K.
Scientific Responsibility Statement
The authors declare that they are responsible for the article’s scientific content, including study design, data collection, analysis and interpretation, writing, and some of the main line, or all of the preparation and scientific review of the contents, and approval of the final version of the article.
Abbreviations
ASA: American Society of Anesthesiologists
BMI: Body mass index
CRP: C-reactive protein
CT: Computed tomography
DSL: Duodenal stump leakage
ICU: Intensive care unit
NSAID: Non-steroidal anti-inflammatory drug
References
-
Paik HJ, Lee SH, Choi CI, et al. Duodenal stump fistula after gastrectomy for gastric cancer: risk factors, prevention, and management. Ann Surg Treat Res. 2016;90(3):157-163. doi:10.4174/astr.2016.90.3.157
-
Kim YJ, Kim DH, Choi H, Ryu DH, Yun HY. Delayed duodenal stump fistula after laparoscopic distal gastrectomy with Billroth-II reconstruction for early gastric cancer: a case report. Medicine (Baltimore). 2022;101(27):e29732. doi:10.1097/MD.0000000000029732
-
Abe T, Fujiya K, Terashima M, et al. Risk factors for duodenal stump leakage in gastric cancer surgery and the preventive effect of duodenal stump reinforcement. World J Surg. 2025;49(6):1591-1599. doi:10.1002/wjs.12610
-
Moriwake K, Isozaki H, Takama T, Murakami S, Matsumoto S. The ingenious drainage system controls persistent duodenal stump fistula due to pancreatic fistula after subtotal gastrectomy for advanced gastric cancer. J Surg Case Rep. 2024;2024(7):rjae444. doi:10.1093/jscr/rjae444
-
Jeong SH, Lee JK, Seo KW, Min JS. Treatment and prevention of postoperative leakage after gastrectomy for gastric cancer. J Clin Med. 2023;12(12):3880. doi:10.3390/jcm12123880
-
Garden OJ, Dykes EH, Carter DC. Surgical and nutritional management of postoperative duodenal fistulas. Dig Dis Sci. 1988;33(1):30-35. doi:10.1007/BF01536627
-
Cozzaglio L, Coladonato M, Biffi R, et al. Duodenal fistula after elective gastrectomy for malignant disease: an Italian retrospective multicenter study. J Gastrointest Surg. 2010;14(5):805-811. doi:10.1007/s11605-010-1166-2
-
Ramos MFKP, Pereira MA, Barchi LC, et al. Duodenal fistula: the most lethal surgical complication in a case series of radical gastrectomy. Int J Surg. 2018;53:366-370. doi:10.1016/j.ijsu.2018.03.082
Figures
Figure 1. A section from the patient’s abdominal CT scan, black arrow: enterocutaneous fistula tract; white arrow: perihepatic abscess formation
Figure 2. Abdominal CT imaging sections obtained after the patient’s presentation, showing images of an abscess and enterocutaneous fistula
Additional Information
Publisher’s Note
Bayrakol MP remains neutral with regard to jurisdictional and institutional claims.
Rights and Permissions
About This Article
How to Cite This Article
Mehmet Ali Karacaer. Duodenal stump leakage and associated abscess and fistula following gastric carcinoma surgery: A Case Report. Ann Clin Anal Med 2026;17(3):269-272
- Received:
- October 11, 2025
- Accepted:
- November 24, 2025
- Published Online:
- December 11, 2025
- Printed:
- March 1, 2026
